Cabinet Dentaire du Dr DESCRIAUD
Omnipratique-Parodontologie-Esthétique
Cabinet Dentaire du Dr DESCRIAUD
Omnipratique-Parodontologie-Esthétique

4 Place Saint-Denis
37400 Amboise

Blog - Page 15

Parodontite et formation de la poche parodontale

Parodontite et formation de la poche parodontale

Le surfaçage

Le surfaçage

Protocole de dévitalisation d'une dent ou traitement endodontique

Protocole de dévitalisation d'une dent ou traitement endodontique

Conséquence de la perte des dents postérieures

Conséquence de la perte des dents postérieures

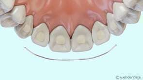
Fil de contention

Fil de contention

Praticiens et patients, tous éco-responsables !

Praticiens et patients, tous éco-responsables !

Un cabinet dentaire est très consommateur de ressources en énergie et en matériel. Or, le respect de l’environnement est devenu l’affaire de tous.

Affichage des articles 85-90 sur 211

Création par Webdentiste

Connexion